El cerebro puede permanecer profundamente enamorado por años, aseguró Helen Fisher, biólogo-atropóloga y experta de la conducta humana y atracción interpersonal.
La investigadora y su grupo de trabajo escaneron los cerebros de varias personas con alrededor de 50 años de edad y que en promedio llevaban 21 años de matrimonio.
"Todos ellos decían estar enamorados, no sólo sentían apego, y en todos ellos pudimos ver que sus cerebros tenían la misma actividad de los que aseguran haberse enamorado perdidamente hace poco", aseguró.
La única diferencia que arrojó la investigación es que los recién enamorados también tienen activada una zona que produce ansiedad, mientras que los que llevan años amando tienen esa área en calma.
La biólogo-atropóloga agregó que con ello demuestra que el amor y el estar enamorado puede durar con el tiempo, y no más de tres meses o tres años, como algunos estudios aseguran.
"Cuando nos enamoramos, en nuestro cerebro se activa una zona que produce dopamina, un estimulante natural del sistema nervioso que nos hace enfocarnos, mentalizarnos, tener más energía y movilizarnos hacia nuestro objetivo: la persona amada", explicó.
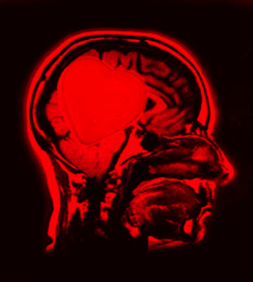
Dicha actividad es tan evidente que puede verse en un escáner cerebral.
La investigadora y su grupo de trabajo escaneron los cerebros de varias personas con alrededor de 50 años de edad y que en promedio llevaban 21 años de matrimonio.
"Todos ellos decían estar enamorados, no sólo sentían apego, y en todos ellos pudimos ver que sus cerebros tenían la misma actividad de los que aseguran haberse enamorado perdidamente hace poco", aseguró.
La única diferencia que arrojó la investigación es que los recién enamorados también tienen activada una zona que produce ansiedad, mientras que los que llevan años amando tienen esa área en calma.
La biólogo-atropóloga agregó que con ello demuestra que el amor y el estar enamorado puede durar con el tiempo, y no más de tres meses o tres años, como algunos estudios aseguran.
"Cuando nos enamoramos, en nuestro cerebro se activa una zona que produce dopamina, un estimulante natural del sistema nervioso que nos hace enfocarnos, mentalizarnos, tener más energía y movilizarnos hacia nuestro objetivo: la persona amada", explicó.
Dicha actividad es tan evidente que puede verse en un escáner cerebral.
El cerebro es tan sensible, que todo lo que hacemos, sentimos o pensamos deja una huella en él.
Por lo anterior, Helen aseguró que sí existe el amor a primera vista.
Por lo anterior, Helen aseguró que sí existe el amor a primera vista.
"Así como nos gusta instantáneamente un nuevo sabor de helado, también nos puede deslumbrar una persona, y ello hará funcionar nuestra cabeza", explicó. Sin embargo, lo importante es lo que viene después.
Objetivo de Cupido
Pero, ¿qué nos hace enamorarnos de una persona y no de otra?
Objetivo de Cupido
Pero, ¿qué nos hace enamorarnos de una persona y no de otra?
Helen sospechaba que la biología nos hace más proclives a unos que a otros, y no estaba tan lejos.
Para encontrar la respuesta, confeccionó un cuestionario que contestaron más de 40 mil personas.
Para encontrar la respuesta, confeccionó un cuestionario que contestaron más de 40 mil personas.
"Con esos datos, confirmamos que la gente se divide en lo que yo llamó personalidades: el explorador, el constructor, el director y el administrador". Cada uno de ellos está definido por las sustancias que generan en mayor cantidad.
El explorador (guiados por la dopamina) gustan de la aventura, es espontáneo, energético, creativo y curioso.. Estas personalidades suelen buscar a sus parecidos.
A los constructores (que generan más serotonina), en cambio, les gusta lo estructurado y convencional, y al mismo tiempo tienen grandes redes y son personas muy sociables. Ellos también tienden a buscar a sus iguales.
Por su parte, directores y administradores se atraen mutuamente.
El explorador (guiados por la dopamina) gustan de la aventura, es espontáneo, energético, creativo y curioso.. Estas personalidades suelen buscar a sus parecidos.
A los constructores (que generan más serotonina), en cambio, les gusta lo estructurado y convencional, y al mismo tiempo tienen grandes redes y son personas muy sociables. Ellos también tienden a buscar a sus iguales.
Por su parte, directores y administradores se atraen mutuamente.
Los primeros son analíticos, directos, confiados y agresivos. Y los segundos son creativos, idealistas sociales y no temen expresar sus emociones.
Pero el "temperamento cerebral" o factor biológico no es el único en la ecuación, las claves culturales también importan. "La gente suele buscar parejas con niveles económicos, de inteligencia y belleza similares", aclaró Helen. La religión y la política tampoco escapan.
Pero más allá de los ingredientes de esta receta, Helen aseguró que la disposición a encontrar el amor es primordial. " Aunque en las distintas culturas alrededor del mundo el amor se exprese de distintas formas, todos los seres humanos sienten amor exactamente de la misma manera.
Fuente : http://ar.news.yahoo.com/s/05092010/41/salud-cerebro-enamorado.html
y vamos por mássssss
Pero el "temperamento cerebral" o factor biológico no es el único en la ecuación, las claves culturales también importan. "La gente suele buscar parejas con niveles económicos, de inteligencia y belleza similares", aclaró Helen. La religión y la política tampoco escapan.
Pero más allá de los ingredientes de esta receta, Helen aseguró que la disposición a encontrar el amor es primordial. " Aunque en las distintas culturas alrededor del mundo el amor se exprese de distintas formas, todos los seres humanos sienten amor exactamente de la misma manera.
Fuente : http://ar.news.yahoo.com/s/05092010/41/salud-cerebro-enamorado.html
y vamos por mássssss
